Юлия Корнилова

    Детский стоматолог
    Дети до 17 лет
    Владеет языками
    Русский

    Обо мне

    Я лечу кариес и пульпиты временных зубов, кариес постоянных зубов, занимаюсь герметизацией фиссур постоянных зубов с применением коффердама и под увеличением ( бинокуляры). Сделаю прекрасную реставрацию, а также могу установить коронки детям в зависимости от показаний. Я Провожу профессиональную гигиены по принципам GBT протокола у детей и подростков. Кроме того я занимаюсь вопросами коррекции уздечек у младенцев. Провожу подбор средств гигиены индивидуально для каждого малыша, а также помогу минимизировать риски развития челюстно-лицевых патологий с самого раннего возраста.

    Образование

    СГМУ г. Архангельск в 2013 году с отличием

    Научная деятельность

    Опыт работы

    ГОАУЗ Мурманская областная стоматологическая поликлиника - врач стоматолог хирург, август 2013 - февраль 2019 года
    Арктикдент г. Мурманск, стоматолог хирург, август 2016 - март 2019
    СМ Клиника - врач стоматолог детский, ведущий специалист, заведующая стоматологическим отделением, май 2019 - июль 2025
    Клиника Фомина - врач стоматолог детский, март 2025 - по нв

    Звания и степени

    Благодарственное письмо от МЗ Мурманской области 

    Примеры работ

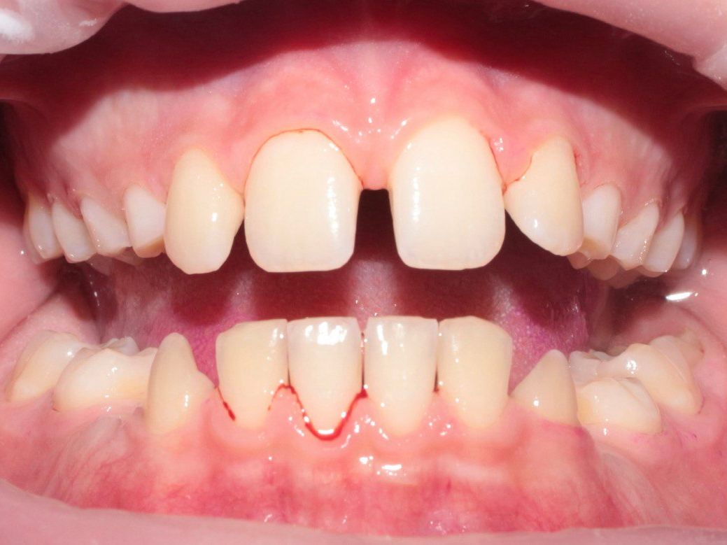
    • Профессиональная гигиена полости рта

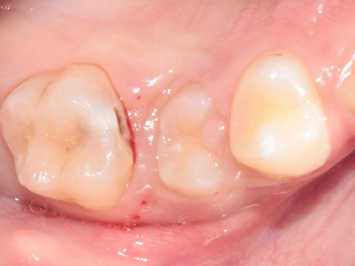
    • Лечение кариеса

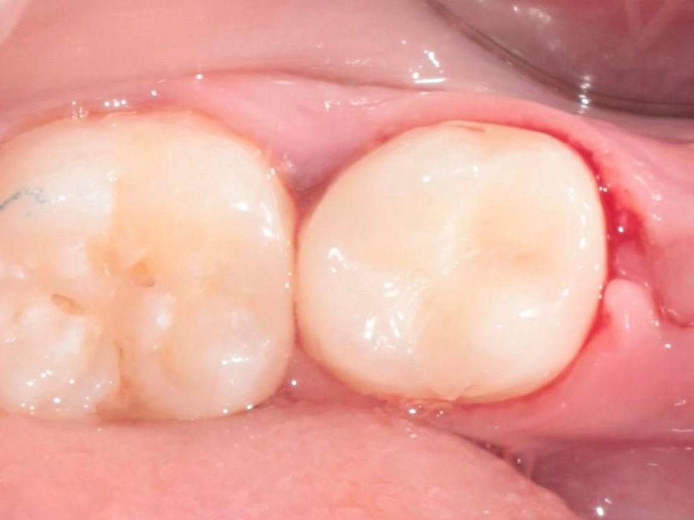
    • Лечение пульпита

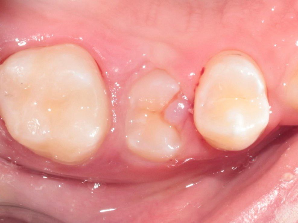
    • Лечение кариеса

    Почему я работаю в этой клинике

    Я за адекватную и современную медицину, основанную на принципах доказательной медицины, именно поэтому мне всегда хотелось работать в такой клинике, как Чайка, где собрались такие прекрасные специалисты, и где появляется стимул расти и развиваться.