Юсуф Есенеев

    Стоматолог-ортопед
    Взрослые
    Владеет языками
    Английский, Русский

    Образование

    В 2019 г. окончил Ставропольский государственный медицинский университет по специальности «Стоматология»
    2019-2021 г.-клинический ординатор в отделении современных технологий протезирования (Нмиц Центральный научно-исследовательский институт стоматологии и челюстно-лицевой хирургии)
    Дополнительное образование:
    "Конгресс гнатологии" 27 ноября 2021
    "Конгресс ортопедии" 26 ноября 2021
    "The combination of strategic factors for a successful prosthetic rehabilitation" Drю Mauro Fradeani, Dr. Leonardo Bacherini  4-5 ноября 2023
    "Congress of aesthetic dentistry and implatology in Kyoto" 17-18 ноября 2024
    "Реконструкция Улыбки" 26-27 февраля 2025


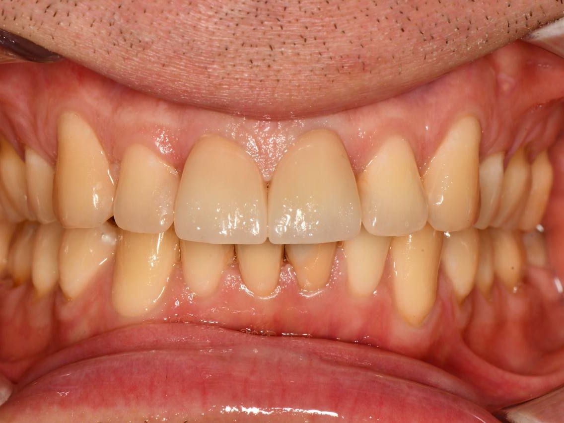
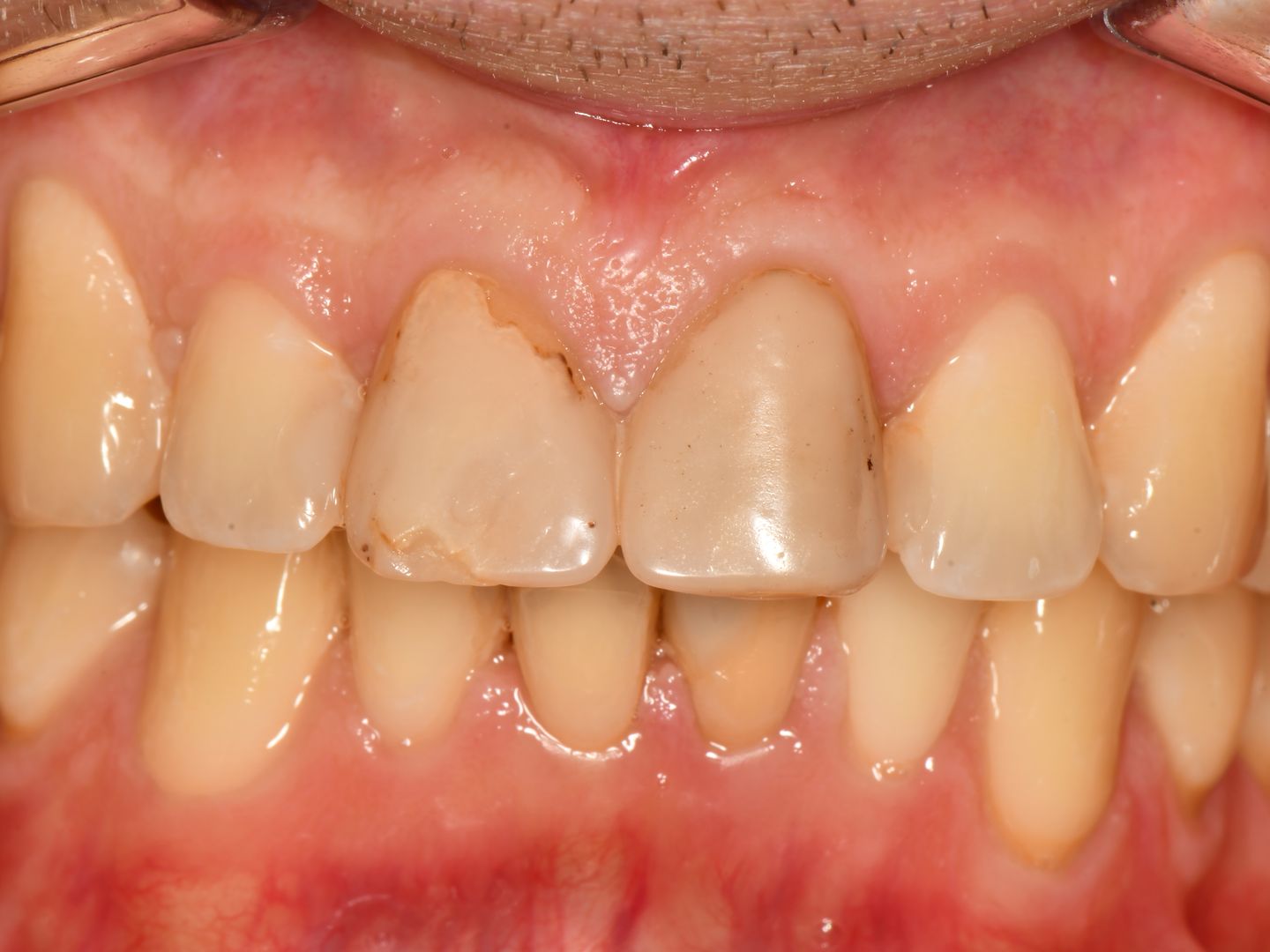
    Примеры работ

    • Цельнокерамические коронки на центральных резцах