Елизавета Бадоева

    Стоматолог-терапевт
    Взрослые

    Обо мне

    Эстетические реставрации зубов 

    Лечение кариеса

    Профессиональна гигиена полости рта

    Отбеливание зубов

    Образование

    2014г.- Северо-Осетинская государственная медицинская академия, специальность «Врач стоматолог»

    2015г.- Интернатура на базе Северо-Осетинской государственной медицинской академии по специальности «Стоматология терапевтическая»

    2015- Профессиональная переподготовка по специальности «Стоматология терапевтическая» СОГМА 

    2018- «Подготовка молодых специалистов к самостоятельному ведению терапевтического приема» учебный центр Авиценна, Москва

    2018- « Простота и качество в эндодонтии» Земляницына И.Б.

    2019- «Оптимизация инструментальной обработки корневых каналов» Шорина Т. В. учебный центр S.T.I. Dent

    2020- Учебный Центр Дополнительного профессионального образование «Образовательный стандарт» по программе «Стоматология терапевтическая»

    2025- «Дентальный микроскоп с практикой на пациентах» Месропова К. И. Учебный центр Авиценна, Москва

    2025- «Posterior class II. Искусство контактного пункта» Роман Карпенко


    Примеры работ

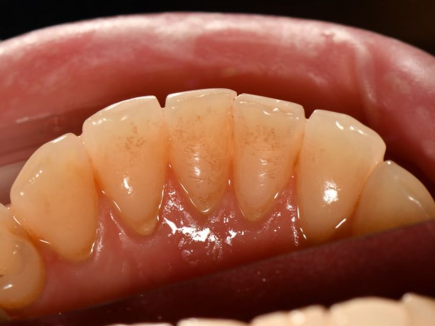
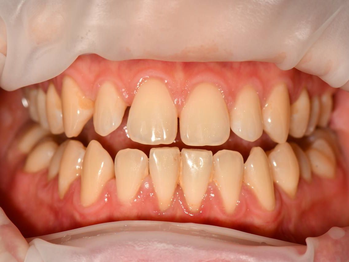
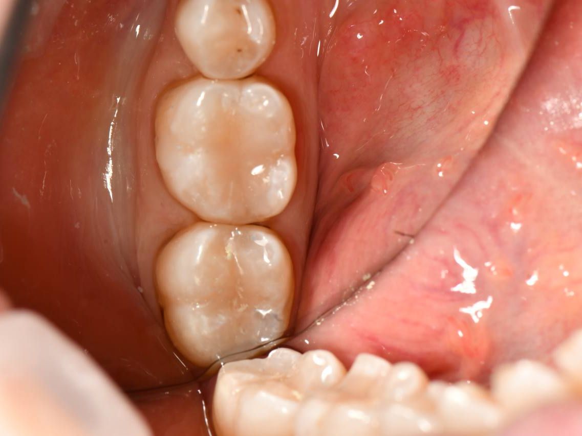
    • Комплексная гигиена полости рта

    • Лечение кариеса

    • Комплексная гигиена полости рта